Efekty Invisalign: metamorfozy uśmiechów naszych pacjentów
Efekty leczenia Invisalign® często przekraczają oczekiwania pacjentów. Wiele osób decyduje się na ten rodzaj terapii nie tylko ze względu na dyskrecję, ale także na oszałamiające wyniki. Jeżeli zastanawiasz się, jakie cudowne metamorfozy może przynieść ta metoda, przygotowaliśmy dla Ciebie specjalną galerię. Prezentuje ona pacjentów Invisalign przed i po, dając obraz rzeczywistych efektów leczenia. Zanurz się w te niesamowite przemiany i zobacz, jak Invisalign® może odmienić Twój uśmiech.
Invisalign przed i po – przykłady naszych pacjentów
W klinice Proste Zęby codziennie pomagamy naszym pacjentom odzyskać pewność siebie poprzez piękny uśmiech. Dzięki zaawansowanemu leczeniu Invisalign®, wiele osób decyduje się na skorzystanie z naszych usług. Nasze doświadczenie i profesjonalizm gwarantują satysfakcję oraz trwałe efekty. Poniżej prezentujemy przykładowe efekty naszych pacjentów, którzy leczyli się u nas w zależności od swojego przypadku od 6 do 24 miesięcy. Daj się zainspirować ich historiami i zdecyduj o swojej przemianie.
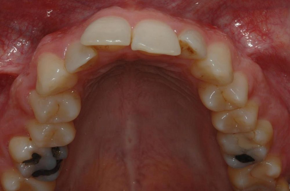
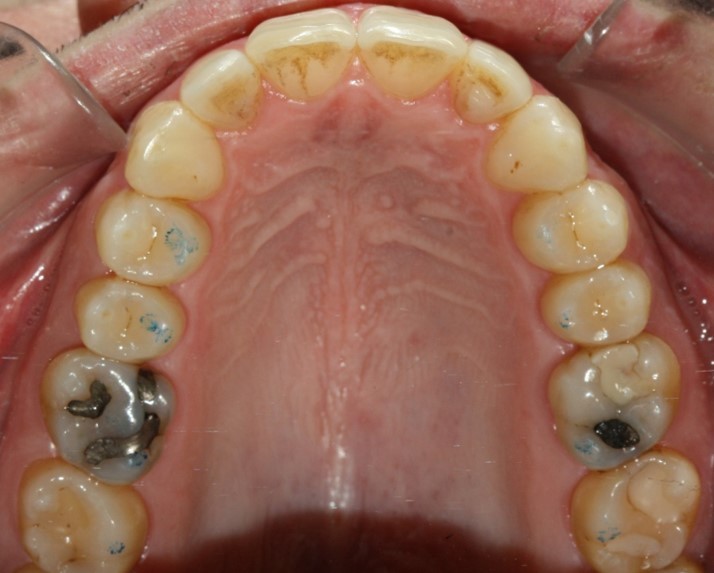
Shipra, 29 lat, pakiet Lite, 14 nakładek Invisalign®
Tomasz, 12 miesięcy leczenia, 50 nakładek Invisalign®
Natalia, 12 miesięcy leczenia, 52 nakładki Invisalign®
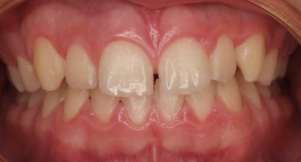
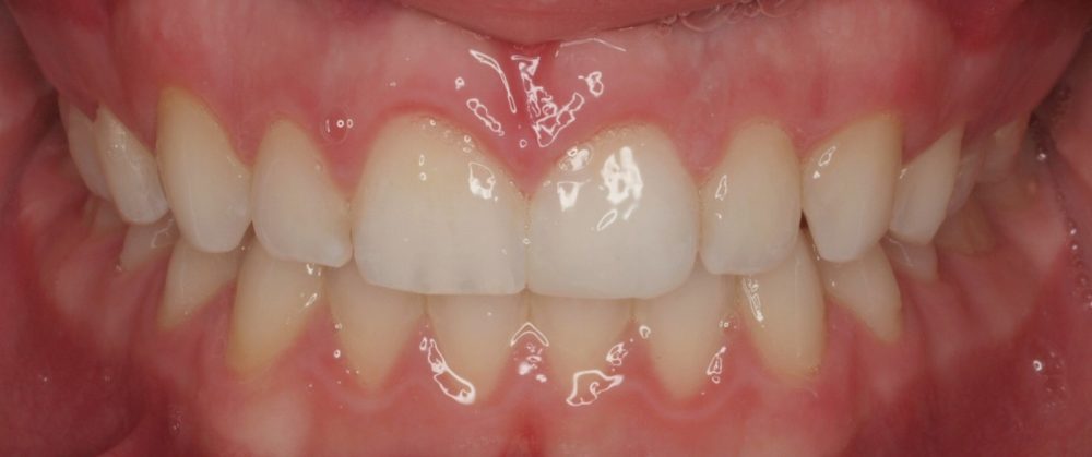
8 miesięcy leczenia, 27 nakładki Invisalign®
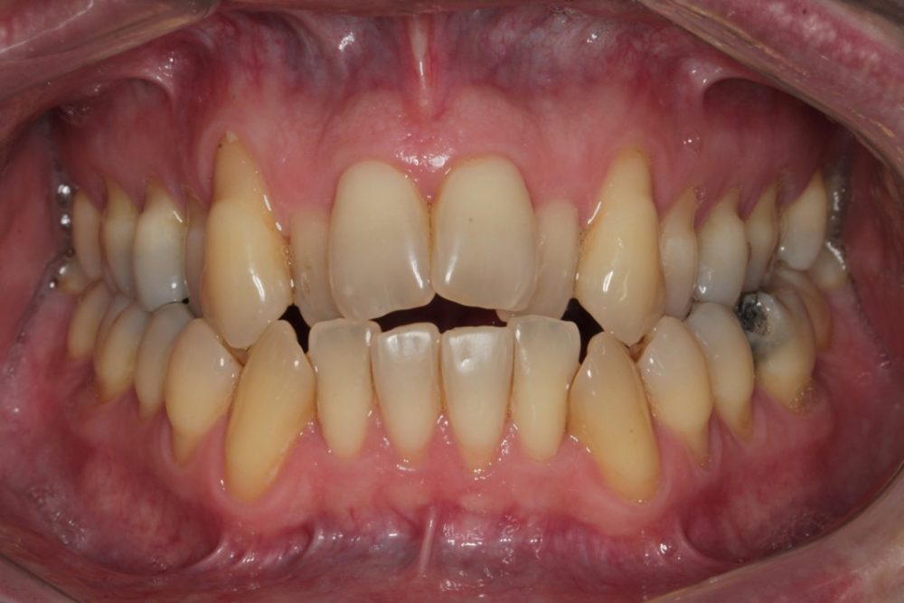
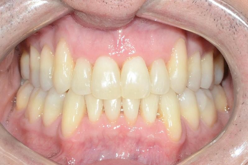
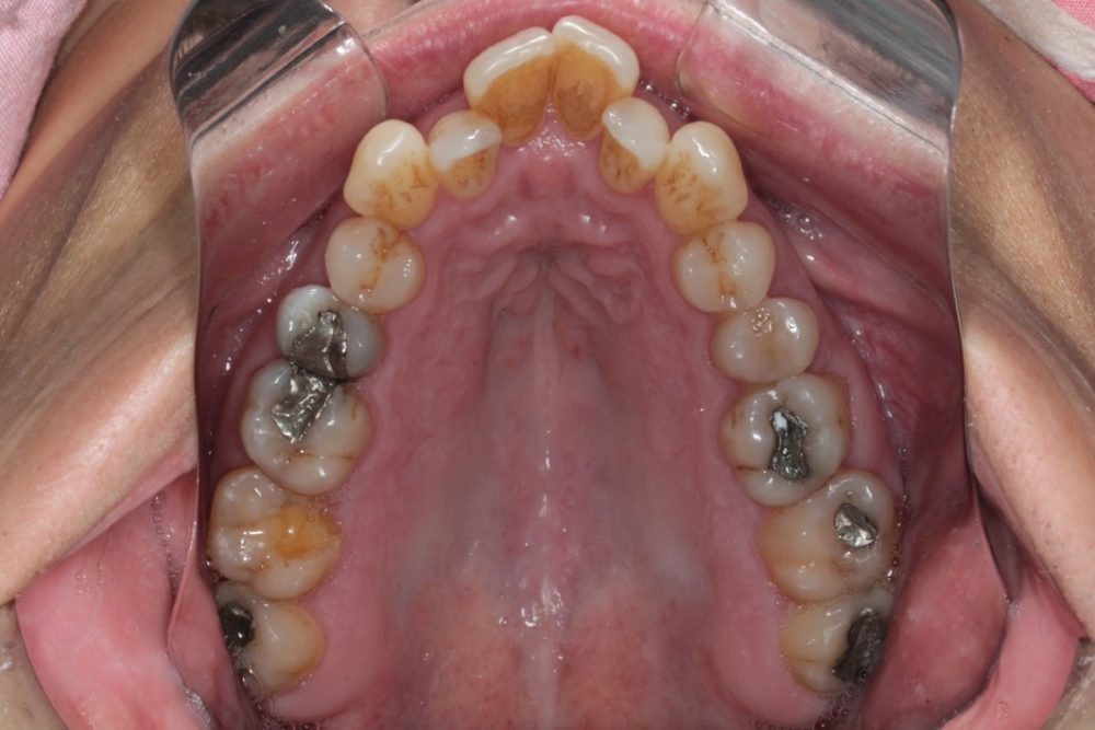
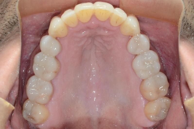
Grzegorz, 47 lat, przedsiębiorca
Cezary, 32 lat prawnik
.
Dawid, 21 lat, student
Cieszą nam zdjęcia pacjentów z wakacji, gdzie uśmiech nie schodzi z ich twarzy. Dawid skorzystał z leczenia Lite, nosił 14 nakładek, przez 6 miesięcy leczenia.
Ryan, 27 lat, stylista fryzur
Małgosia, 17 lat
Weronika, 14 lat
Adela, 28 lat
Maciek, 20 lat
Tomasz, 42 lata, na co dzień mieszka w Islandii
Piotr, 25 lat
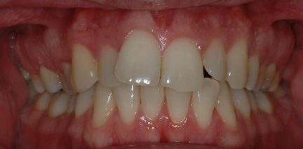
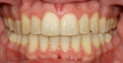
25-letni pacjent, gdy odwiedził Klinikę Proste Zęby nie chciał, wstydził się i nie umiał się uśmiechać!
Marzył o wyprostowaniu zębów, ale jednocześnie zależało mu, aby zachować estetyczny wygląd podczas leczenia ortodontycznego.
Zdecydował się na niewidoczne nakładki Invisalign®. Niekiedy pacjentom należy zakładać zaczepy na niektóre zęby, to takie wystające wypustki na zębach.
W przypadku naszego pacjenta nie wchodziły w grę ani wypustki, ani ekstrakcje. W pierwszym planie leczenia uwzględniliśmy zarówno wypustki, jak i ekstrakcję, ale musieliśmy wszystko zmieniać. Osiągnęliśmy konsensus zaplanowaliśmy leczenie tak, aby było ono satysfakcjonujące i dla pacjenta, i dla lekarza ortodonty.
Mirosława, 31 lat, 30 nakładek Invisalign®
Pacjentka pojawiła się u naszego ortodonty z diasteą i dużą szparowatością. Zastosowaliśmy u niej leczenie Invisalign FULL®. Pacjentka nosiła 30 nakładek. Zmiana nakładek następowała co tydzień. Po leczeniu zastosowano retencję Vivera. Często przed leczeniem diastemy należy podciąć wędzidełko wargi górnej. Po zamknięciu diastemy nakładkami, ten efekt będzie trwały.
Renata, 28 lat, 6 miesiący leczenia Invisalign®
Pacjentka z licznymi stłoczeniami zębów. Tylko 26 nakładek, czyli zaledwie PÓŁ ROKU leczenia pozwoliło na wyprostowanie tak skomplikowanej wady. Pacjentka zmieniała nakładki co tydzień. Planowane było 26 nakładek – licząc, że rok ma 52 tygodnie to 26 nakładek to było tak naprawdę równe pół roku. Rodzina obserwując postępy nie mogła uwierzyć, że to tak szybko. Rodzice najbardziej powątpiewali w te efekty. Kiedy pacjentka między jednymi świętami a drugimi zupełnie odmieniła swój uśmiech nie mogli uwierzyć w to tempo zmian. Po skończonym leczeniu i po zmianie uśmiechu w tak szybkim czasie pacjentka nabrała ochoty na dalsze poprawki.
Katarzyna, 39 lat, 4 miesiące leczenia Invisalign®
Czy można w 4 miesiące zmienić swój uśmiech? Nasza pacjentka, lat 39, zawsze przepięknie kolorowo ubrana i mająca zawsze uśmiech na twarzy, zgłosiła się do nas do kliniki celem wyprostowania stłoczonych zębów na dole. Zdecydowała się na system Invisalign® LITE, na górną i dolną szczękę. Efekty przerosły jej oczekiwania, ponieważ oprócz wyprostowanych stłoczonych siekaczy, które były głównym celem leczenia, znacznie poprawił się cały uśmiech pacjentki. Zostały wychylone i wyrównane górne przedtrzonowce, odrotowane zęby przednie co w konsekwencji poprawiło i wyrównało uśmiech.I to zaledwie po 4 miesiącach leczenia!
Zofia, 15 lat, 6 miesiący leczenia Invisalign®
Młoda pacjentka marząca o karierze modelki. Zapisała się do agencji modelingowej w wieku 14 lat. Przeszła w swojej krótkiej karierze już parę sesji zdjęciowych. Niestety każda sesja zdjęciowa powodowała duży stres u dziewczyny, głównie z tego powodu, że obawiała się uśmiechać i bardzo niechętnie to robiła nawet, gdy była o to usilnie proszona przez fotografa. Zdecydowała się na leczenie ortodontyczne. W gabinecie ortodontycznym zaproponowano pacjentce 2-letnie leczenie ortodontyczne klasycznym aparatem ortodontycznym z drutami i zamkami. Okazało się, że w umowie z agencją modelek niemożliwe jest zastosowanie klasycznego aparatu ortodontycznego. Podczas podpisanego kontraktu z agencją modelingową potencjalna modelka ma ZAKAZ stosowania klasycznego aparatu – czyli drutów i zamków. Pacjentka szukała alternatywy i dlatego trafiła do Kliniki Proste Zęby. Zastosowaliśmy u pacjentki leczenie Invisalign. 8- miesięczne leczenie u pacjentki nie spowodowało zerwania kontraktu z agencją. Dodatkowo nikt w agencji wręcz nie zauważył, że pacjentka się leczy ortodontycznie. Pacjentka w nakładkach uczestniczyła w kilku sesjach zdjęciowych. Oprócz zalet z zastosowania Invisalign takich, jak niewidoczność aparatu na zębach główną korzyścią dla pacjentki było skrócenie czasu leczenia. Jeśli zestawimy 2 – letnie leczenie zaproponowane w innej klinice klasycznymi drutami i zamkami w porównaniu do 8 miesięcy leczenia w Klinice Proste Zęby pacjentka ZAOSZCZĘDZIŁA 16 miesięcy, podczas których z powodzeniem może uczestniczyć w kolejnych sesjach zdjęciowych. Po zaledwie 8 miesiącach leczenia pacjentka chętnie się uśmiecha, a Klinika Proste Zęby trzyma kciuki za wspaniałą karierę międzynarodową pacjentki. Życzymy kontraktu w Japonii, o której pacjentka najbardziej marzy.
Anna, 28 lat, pośredniczka obrotem nieruchomościami, modelka, aktorka
Wybór Kliniki Proste Zęby był dla niej bardzo oczywisty, gdyż od początku pacjentka zdecydowana była tylko na leczenie metodą Invisalign. Pacjentka mieszkała przez część swojego życia w USA i tam poznała bardzo dobrze tą metodę, gdyż większość jej kolegów i koleżanek w Stanach Zjednoczonych nie było leczonych drutami i zamkami, tylko własnie Invisalign. Dodatkową motywacją jaką się kierowała była potrzeba niezbyt częstych wizyt u ortodonty. Powodem nie była niechęć do naszej Pani doktor w Klinice 🙂 , bo tak naprawdę to się bardzo polubiły, ale to, że pacjentka dzieliła swoje życie między Warszawą i Miami i nigdy nie była w stanie zaplanować dokładnie, w którym mieście i jak długo będzie przebywała. Zdarzyło się nawet tak, podczas 8- miesięcznego leczenia, pacjentka, która miała zaplanowane wizyty bardzo rzadko, czyli co 3-4 miesiące nie mogła się mimo to pojawić zgodnie z planem na kolejnej wizycie kontrolnej. Klinika Proste Zęby sprostała i temu wyzwaniu i wysłała kolejne, brakujące nakładki do pacjentki, do Miami 🙂 Leczenie Invisalign można prowadzić z powodzeniem podróżując i nie przerywając leczenia. Brak obecności na wizycie kontrolnej nie przerywa leczenia Invisalign tak, jak jest to w przypadku klasycznych drutów i zamków, i można go kontynuować niewidząc się ze swoim lekarzem prowadzącym nawet parę miesięcy. Pacjentka jest nadal w trakcie leczenenia, a tym razem przebywa w Los Angeles 🙂
Anna, lat 40, bizneswoman
Dla naszej pacjentki spotkania z klientami to codzienność. Uśmiech, który pomaga w kontaktach to dla niej priorytet. Od wielu lat rozważała leczenie orotodontyczne, aby poprawić swój uśmiech i osiągnąć tzw. hollywood smile. Pacjentka mieszkała wcześniej wiele lat w Stanach Zjednoczonych i już tam, ponad 8 lat temu doradzano jej podczas wizyt u stomatologa, aby poddała się leczeniu Invisalign. Nigdy nie zdecydowała się jednak na to leczenie będąc w USA. Po powrocie do Polski dowiedziała się, że metoda Invisalign jest również dostępna w Polsce. Zdecydowała się na leczenie i po niecałym roku leczenia mogła się cieszyć zupełnie innym wyglądem.
Uśmiech zmienia wszystko. Leczenie Invisalign nie spowodowało żadnych zmian podczas jej codziennej pracy z klientami. Mogła prowadzić rozmowy, tryb życia i uśmiechać się bez skrępowania nawet podczas leczenia. Dużą korzyścią dla pacjentki, jak to często podkreślała była możliwość zdjecia nakładek podczas jedzenia – oznaczało to dla niej brak stresu podczas śniadań służbowych, lunchów biznesowych, czy uroczystych kolacji z klientami – nie musiała wtedy rezygnować z ulubionych potraw lub martwić się nieprawidłową higieną. Dzisiaj po niecałym roku leczenia pacjentka cieszy się swoim nowym „hollywood smile“.
Eliza, 29 lat, leczenie ekstrakcyjne w Klinice Proste Zęby
Pacjentka zgłosiła się do Kliniki Proste Zeby cierpiąc od wielu lat z powodu nie leczonej wady zgryzowej i licznych stłoczeń. Brak symetrycznego uśmiechu, liczne przykurcze mięśni i problemy ze stawem skroniowo-żuchwowym. Dodatkowo po prawej stronie tyłozgryz. Zastosowano leczenie Invisalign FULL® i ekstrakcję jednostronną po prawej stronie usunięto czwórkę górną prawą. Usuwanie jakiegokolwiek zdrowego zęba ze względów ortodontycznych wiąże się z dużym stresem zarówno u pacjenta, jak i lekarza podejmującego taką decyzję. Dzięki zastosowaniu komputerowego planu leczenia można było jeszcze przed rozpoczęciem leczenia pokazać i wytłumaczyć pacjentce, że ekstrakcja jest konieczna. Na tzw. clin checku można było dokładnie pokazać jak przesuwają się zęby w miejsce po usuniętym zębie.
Leczenie trwało rok, następnie odbudowano zęby przednie gdyż po wyrównaniu i rozładowaniu stłoczęń zębów ich kształt anatomiczny wymagał poprawy. Podczas trwania leczenia ortodontycznego pacjentka również stosowała zalecone ćwiczenia przez rehabilitanta narządu żucia. Pacjentka nadal ma przykurcze mięśni, ale już znacznie mniejsze. Bóle w stawie ustały, a pacjentka coraz szerzej się już uśmiecha.
Monika, lat 37, dentofobia
Pacjentka zgłosiła się do Kliniki Proste Zęby celem leczenia ortodontycznego i poprawienia estetyki. Pacjentka zwlekała z leczeniem ortodontycznym przez wiele lat, gdyż od wielu lat zmaga się z dentofobią. Strach, którego doznawała przed każdą wizytą u lekarza skutecznie odstraszał pacjentkę przed podjęciem leczenia.
Pacjentce zależało przede wszystkim na krótkim czasie leczenia i na rzadkich wizytach u stomatologa czy ortodonty.
Udało się obie prośby spełnić.
Leczenie trwało zaledwie 4 miesiące, a wizyt pacjentka miała 3 – wizyta START-UP (wizyta 1) , montaż aparatu (wizyta 2) i zdjęcie aparatu (wizyta 3). Pacjentka przeżyła szczęśliwie wszystkie 3 wizyty bezstresowo i cieszy się wspaniałym uśmiechem.
Renata, 45 lat, zgryz głęboki, starcie zębów
Pacjentka zgłosiła się do Kliniki Proste Zęby, ponieważ dowiedziała się od koleżanki, która już kończyła leczenie, że można poprawić sobie uśmiech. Pacjentka miała zdiagnozowany zgryz głęboki, jak również starcie patologiczne zębów przednich. Zastosowano leczenie Invisalign LITE i pacjentka już po 4 miesiącach odmłodniała o około 10 lat dzięki nowemu uśmiechowi. Leczenie pacjentki dało odpowiedź na odwieczne pytanie czy leczenie ortodontyczne to tylko leczenie czy estetyka. W przypadku tej pacjentki, która tylko chciała estetycznie poprawić sobie uśmiech „przy okazji” został wyleczony zgryz głęboki i patologiczne starcie zębów.
Oliwia, 27 lat, stłoczenia, nierówny uśmiech
6 miesięcy leczenia ortodontycznego
14 nakładek Invisalign® LITE
3 wizyty w gabinecie
Wada zgryzu: stłoczenia, nierówny uśmiech.
Rozbudowano łuki zębowe, poszerzono uśmiech, wyrównano stłoczenia. Dodatkowo po leczeniu ortodontycznym pacjentka estetycznie wyrównała przednie siekacze i został u niej wykonany skan na nakładki retencyjne. W dobie izolacji 2020– mała ilość wizyt w gabinecie była wielką zaletą!
Krzysztof, 36 lat, marzenie o estetycznym uśmiechu
Połączenie ortodoncji przy zastosowaniu nakładek Invisalign® i protetyki daje spektakularne efekty!
Przed odbudową protetyczną należało zastosować leczenie ortodontyczne tak, aby przygotować miejsce na odbudowę protetyczną.
Całość leczenia u naszego pacjenta to 9 miesięcy. Efekty przerosły oczekiwania i kolejny szczęśliwy pacjent opuścił naszą klinikę.
Przy tej metamorfozie współpracowaliśmy z Your Dentist – Lek.stom. Marzena Kupis!
Antonina, lat 10, dodatkowy siekacz dolny
Pacjentka zgłosiła się do Kliniki Proste Zęby z dodatkowym siekaczem dolnym. Należało jednego z pięciu siekaczy usunąć. Którego? Należało zdecydować, którego zęba usunąć najlepiej tak, aby pozostałe zęby ułożyły się w prawidłowy sposób. System Invisalign® pozwala zrobić symulację usunięcia zęba i pozwala zobaczyć jak się zęby układają w planie leczenia. Możemy podjąć tę decyzję świadomie jeszcze przed rozpoczęciem leczenia. Usunięcie nieprawidłowo któregoś z zębów jest nieodwracalne, dlatego zaplanowanie i zwizualizowanie tego planu leczenia przed ekstrakcją pozwala uniknąć błędów. Do tego służy tzw. „Clin check” w systemie Invisalign®. U pacjentki zaplanowaliśmy różne scenariusze, a następnie wybraliśmy najlepszy. Pacjent i lekarz czują się pewnie, że podjęli najlepszą z możliwych decyzji. Pacjentka po usunięciu jednego z siekaczy dolnych ma piękny uśmiech. Pozostaje pod opieką Kliniki Proste Zęby przez cały okres wyrzynania się zębów stałych, tak, aby monitorować zachodzące zmiany.
Uśmiech Tosi przed leczeniem i po
Uśmiech Tosi przed leczeniem i po
Zęby Tosi przed usunięciem 5-tego siekacza
Zęby Tosi po usunięciu 5-tego siekacza
Clin Check Tosi
Tosia po usunięciu zęba
Tosia w aparacie na zęby Invisalign®
Tosia po leczeniu ortodontycznym
Tosia w filmiku
Julia, 17 lat, zamieniła tradycyjny aparat z drutów i zamków na Invisalign®
Pacjentka zgłosiła się do Kliniki Proste Zęby w maju 2019 roku, zadrutowana i załamana 🙁 Przyjechała do Warszawy z innego miasta, gdzie w gabinecie ortodontycznym otrzymała plan leczenia na 2,5 roku i założono jej klasyczny aparat z metalowymi zamkami i łukiem podniebiennym. Młoda, piękna dziewczyna jak usłyszała, że te druty i zamki ma nosić 2,5 roku to psychicznie była wyczerpana. Przed Julką matura, egzaminy, studniówka, szkoła wyższa. Julka nie była w stanie o niczym innym myśleć tylko o tym jak strasznie będzie na tych wszystkich wydarzeniach wyglądać! Rodzice szukali pomocy. Mama Julii znalazła Klinikę Proste Zęby w internecie i przyjechali na wizytę START-UP dowiedzieć się czy jest możliwe zdjęcie tego aparatu i założenie Invisalign®.
Po przeprowadzeniu diagnostyki, wykonaniu skanu komputerowego rodzice zdecydowali się w naszej klinice podjąć leczenia Julki. Zdjęliśmy druty i zamki, zdjęliśmy łuk podniebienny. Julka była przeszczęśliwa 🙂 Za około miesiąc w czerwcu otrzymała swoje nakładki Invisalign® i plan leczenia na 6 miesięcy!
W grudniu 2019 roku, po przeprowadzonym leczeniu ortodontycznym, dokonano odbudowy protetycznej niewykształconych dwójek i Julka jest gotowa z nowym uśmiechem wejść w Nowy Rok pełen wyzwań maturalnych 🙂
Karolina, 27 lat
Nasi pacjenci chcieli olśnić nowym, pięknym uśmiechem bliskich podczas Świąt Bożego Narodzenia 2019 i w Sylwestra. Karolinie się udało! Pacjentka była leczona ortodontycznie w Klinice Proste Zęby 6 miesięcy.
Kinga, 13 lat, szparowatość i distema
„Moim kompleksem Ciociu zawsze były moje zęby i przerwy między nimi” – powiedziała Kinga na jednej z pierwszych wizyt w wakacje 2019,w klinice, do dr. Magdaleny Rutkowskiej. Pół roku noszenia nakładek Invisalign® i przed świętami zdążyłyśmy z pięknym uśmiechem!
Wywiad z Kingą po leczeniu:
- Zadowolona z nowego uśmiechu?
- Baaardzo!
- Uciążliwe było leczenie?
- W ogóle!
- Coś Cię bolało?
- Nigdy, może na początku przy pierwszych nakładkach zanim się przyzwyczaiłam.
- Ktoś w szkole zauważył?
- Taaak, koleżanki zauważyły, że zawsze coś ściągam przy jedzeniu. Zainteresowanym odpowiadałam, że to mój aparat ortodontyczny. Bardzo były zdziwione i w sumie to mi chyba zazdrościły, bo wiem, że już namawiają swoich rodziców, że też taki chcą, i że nie chcą drutów i zamków
- Cieszę się! Zaproś je do nas do gabinetu 🙂 Jak będą to koleżanki czy koledzy od Ciebie z klasy, to zaproponujemy rabat na leczenie!
Sprawdź efekt Invisalign® przed i po
Zobacz przypadki leczone metodą Invisalign®
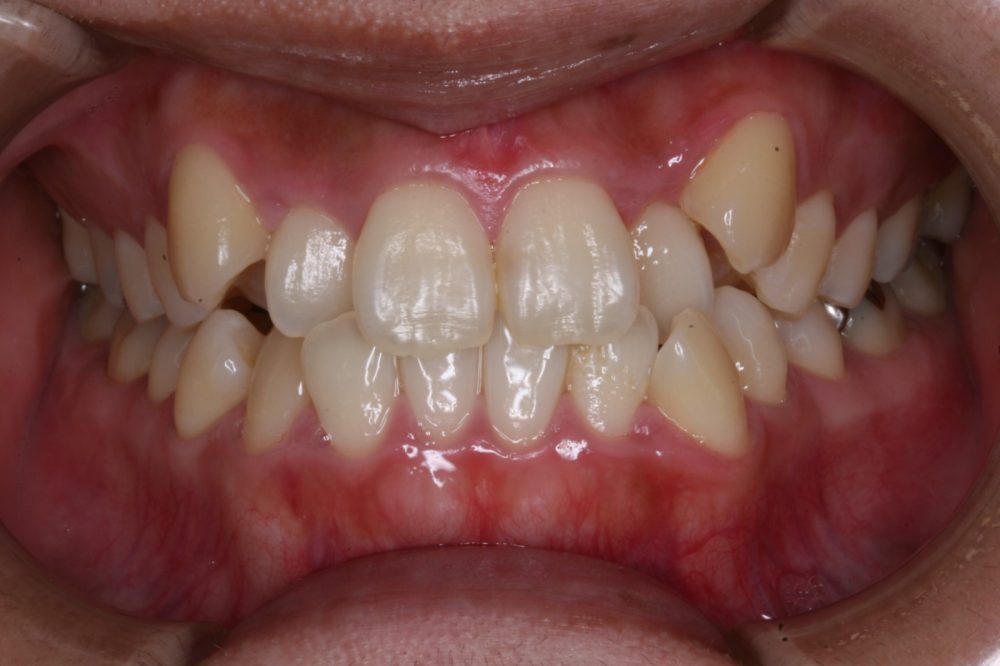
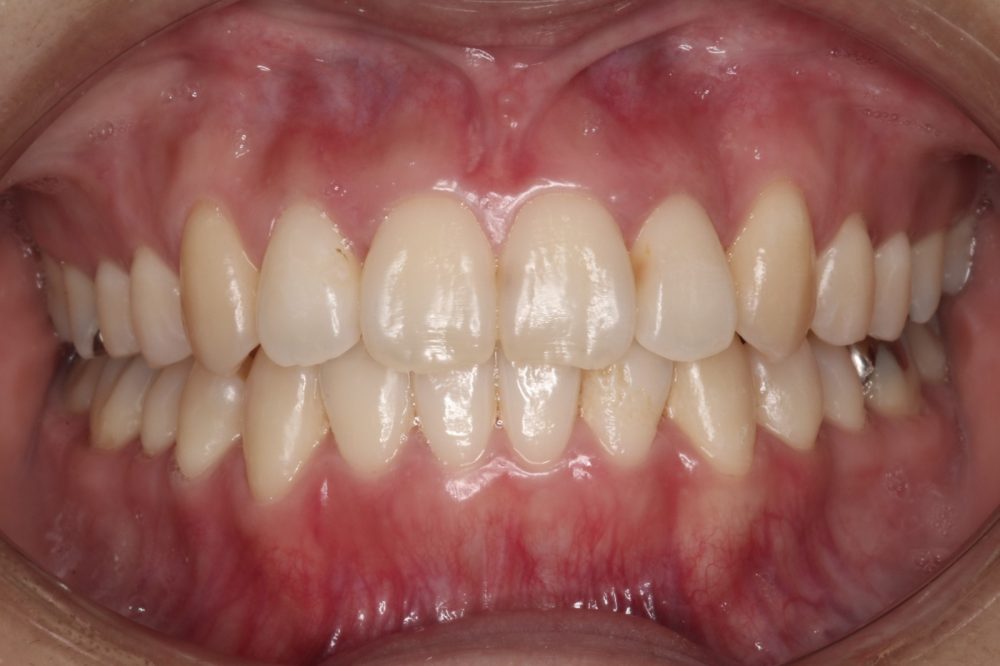
Stłoczenie
Wiek: 27
Płeć: kobieta
Leczenie Invisalign®: FULL
PRZESUŃ SUWAKIEM w lewo lub w prawo i zobacz efekt – PRZED I PO




Szparowatość
Wiek: 12
Płeć: mężczyzna
Leczenie Invisalign®: LITE
PRZESUŃ SUWAKIEM w lewo lub w prawo i zobacz efekt – PRZED I PO




Zgryz otwarty
Wiek: 39
Płeć: mężczyzna
Leczenie Invisalign®: FULL
PRZESUŃ SUWAKIEM w lewo lub w prawo i zobacz efekt – PRZED I PO




Zgryz głęboki
Wiek: 47
Płeć: kobieta
Leczenie Invisalign®: FULL
PRZESUŃ SUWAKIEM w lewo lub w prawo i zobacz efekt – PRZED I PO




Stłoczenia, zgryz krzyżowy
Wiek: 39
Płeć: mężczyzna
Leczenie Invisalign®: FULL
PRZESUŃ SUWAKIEM w lewo lub w prawo i zobacz efekt – PRZED I PO



